Sebuah studi baru menjelaskan mengapa varian omicron dari SARS-CoV-2 hanya mampu menyebabkan gejala COVID-19 yang lebih ringan dibandingkan dengan jenis sebelumnya.
Penemuan ini tampaknya menguatkan temuan sebelumnya tentang bagaimana varian baru dari kekhawatiran menyebabkan lebih sedikit rawat inap dan kematian daripada varian delta.
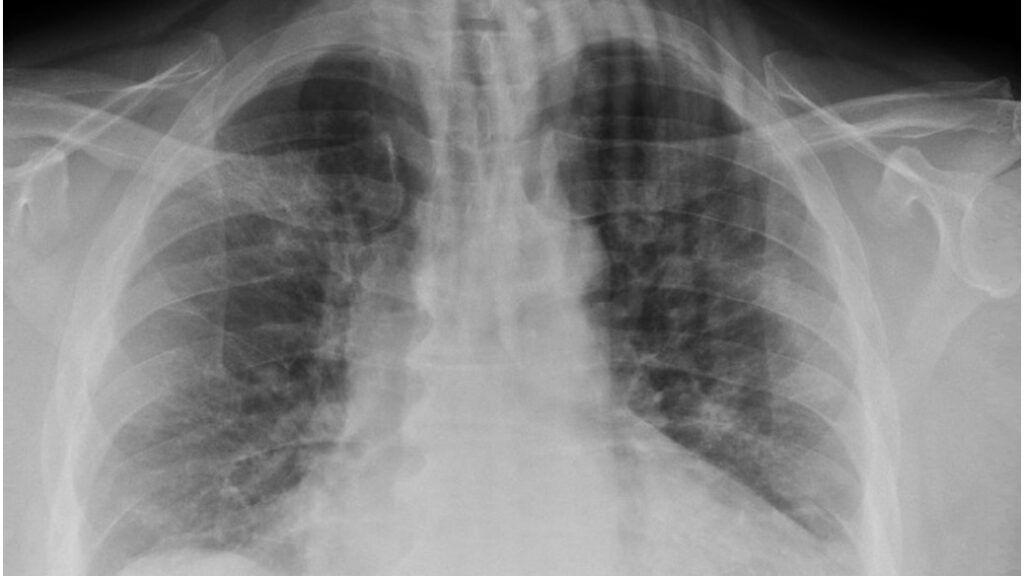
Sebuah penelitian yang dilakukan bersama antara Amerika dan Jepang menunjukkan bahwa varian omicron dari virus corona baru menyebabkan gejala yang lebih ringan daripada delta dan strain lainnya.
Hal tersebut disebabkan karena varian omicron mempengaruhi paru-paru secara berbeda.
Pracetak penelitian masih dalam pertimbangan di Nature Portofolio Journal, tetapi telah menarik perhatian komunitas medis karena mencoba menjelaskan bentuk ringan penyakit yang disebabkan oleh varian omicron.
Menurut para ilmuwan yang melakukan penelitian, yang melibatkan percobaan pada tikus dan hamster, omicron menyebabkan dampak yang tidak terlalu parah pada saluran pernapasan bagian atas dan bawah.
Mereka menemukan bahwa strain menghasilkan “beban virus yang lebih rendah” di hidung, tenggorokan, dan paru-paru, yang mengarah ke viral load dan replikasi yang lebih ringan dan, pada akhirnya, lebih sedikit kerusakan pada area yang disebutkan.
Para peneliti menunjukkan bahwa mereka melihat infeksi yang dilemahkan atau melemah di paru-paru hewan pengerat.
Tikus dengan varian baru SARS-CoV-2 hanya mengalami penurunan berat badan yang terbatas dan beban virus yang lebih rendah di saluran pernapasan mereka.
Kepala penasehat medis Gedung Putih, Dr. Anthony Fauci mengakui penelitian tersebut dan penelitian lain dalam pengarahan tim tanggapan COVID-19 baru-baru ini.
Dokter-ilmuwan dan ahli imunologi mengatakan bahwa meskipun omicron bereplikasi lebih cepat di bronkus, ada bukti bahwa strain bereplikasi lebih lambat di paru-paru.
Pada pertengahan Desember, sebuah studi dari University of Hong Kong menyampaikan temuan yang hampir serupa.
Tim di balik penelitian ini mengatakan bahwa omicron berkembang biak sepuluh kali lebih lambat di jaringan paru-paru dan 70 kali lebih cepat di saluran udara dibanding versi asli SARS-CoV-2.
Karena omicron bereplikasi pada tingkat yang lebih lambat di paru-paru, ini dapat menjelaskan tingkat keparahan penyakit yang lebih rendah.





1111-article-1631350107.jpg?w=300)



